Il faut partir du fait que les organismes les plus simples sont apparus il y a très longtemps ; ils sont considérés comme les plus anciens habitants de la planète. Au cours de leur existence, ils sont devenus incroyablement résistants à divers défis. Ils peuvent survivre même dans les environnements les plus dangereux.
Ces micro-organismes ont choisi un mode d'existence très pratique : le parasitisme, en particulier dans le corps humain. Comme mentionné précédemment, ces micro-organismes sont incroyablement « nocifs » et persistants, c'est pourquoi il est parfois si difficile de s'en débarrasser.
Il existe plusieurs types d’endroits où « résident » les parasites. Le premier type comprend les micro-organismes endogènes, c’est-à-dire ceux qui se trouvent à l’intérieur du corps humain. Le deuxième type comprend les parasites exogènes qui « s’installent » volontairement sur la peau et provoquent diverses maladies cutanées.
Types de parasites protozoaires
En gros, il existe 4 types de parasites qui « vivent bien » dans le corps humain.
Flagellés
Ceux-ci incluent Giardia et Trypanosomes. Cette classe est représentative des plus anciens représentants des parasites. Ils ont reçu ce nom en raison de l'organe de leur mouvement : les flagelles. La taille des parasites eux-mêmes est simplement microscopique, ils ont une forme constante et ils se reproduisent généralement en se divisant en deux parties.

Ils sont très dangereux pour les humains et les animaux ; s'ils pénètrent dans leur corps, ils causent de grands dommages. Ils provoquent également diverses maladies. Comme la fièvre américaine du sommeil, la leishmaniose cutanée et bien d’autres. Ils peuvent parasiter les intestins, le sang et la peau. Ainsi, affectant négativement la santé humaine.
Sporozoaires
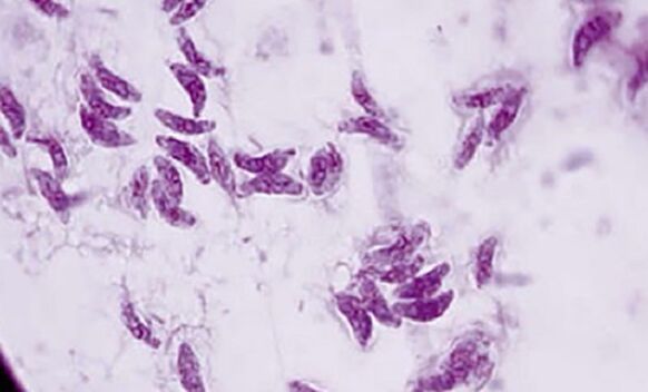
Ce type de parasite protozoaire a un chemin de développement très complexe. À l’heure actuelle, on sait que la classe contient environ 1 400 espèces. Tous les représentants « choisissent » un mode de vie parasitaire et sont extrêmement dangereux pour les personnes et les animaux. La reproduction se fait par division cellulaire.

Le plus souvent, les tissus et organes humains ou animaux sont choisis comme « lieu de résidence ». Cette espèce provoque de nombreuses maladies. Par exemple, comme le paludisme, la toxoplasmose.
Ciliés
Ceux-ci incluent les balantidies. Il existe environ 7 000 espèces différentes. Les organes de mouvement de ces parasites sont les cils, qui sont nombreux.

Une particularité de ce type est la présence de deux noyaux. Ils ont une forme corporelle et une coque constantes. La reproduction se produit généralement par division. Cette espèce n'est pas moins dangereuse pour l'homme et les animaux que les deux précédentes.
Sarcodacées
Ceux-ci incluent la dysenterie amibe. Ils constituent les plus primitifs de tous les types et classes. Il existe environ 10 000 espèces différentes ! Ils n’ont pas une forme corporelle constante. Ils sont parasitaires chez les humains et les animaux.

Le plus souvent, ils choisissent le système digestif pour leurs activités. À cause d’eux, des intoxications très graves peuvent survenir chez l’homme. Dans certains cas, les décès sont fréquents.
Ces types sont unis par une résistance élevée à divers « tests ». Après tout, une personne infectée essaie constamment de lutter contre les parasites, mais cela ne fonctionne pas toujours en raison de sa capacité à résister à toutes les mesures.
Pourquoi sont-ils dangereux, quelles maladies provoquent-ils ?
Les parasites protozoaires sont en effet très dangereux pour la santé humaine. Ils peuvent provoquer diverses maladies entraînant certaines conséquences. Il ne faut en aucun cas sous-estimer les parasites protozoaires, car ils peuvent nuire considérablement à l'homme.
Maladies causées par des parasites protozoaires :
Paludisme
Cette maladie se caractérise par certains changements. Parfois, il y a un soulagement, puis le soulagement est remplacé par une exacerbation des symptômes. Les principaux symptômes sont des maux de tête, de la fièvre, des nausées, des vomissements et des convulsions.

Depuis de nombreuses années, la chitine est considérée comme le meilleur traitement. Cependant, les décès dus à cette maladie surviennent également le plus souvent dans les endroits où la médecine est peu développée.
Amibiase
Une autre maladie non moins dangereuse, dont les conséquences peuvent aussi être tristes. L'agent causal est la dysenterie amibe.
Les symptômes commencent à apparaître 7 à 10 jours après l'infection. Ceux-ci incluent des maux de tête, un malaise général, de la fièvre et certaines personnes peuvent avoir des maux d'estomac. Des complications s'ensuivent, qui se traduisent par des problèmes hépatiques. Si le patient ne commence pas le traitement à temps et ne consulte pas un spécialiste, les conséquences seront irréversibles.
Toxoplasmose
L'agent causal de la maladie est Toxoplasma gondii. Les symptômes de cette maladie comprennent des lésions oculaires, le système nerveux en souffre ainsi que le système cardiovasculaire. Très souvent, au début, l’infection est banale et disparaît comme s’il s’agissait d’un simple rhume.

L'infection pendant la grossesse est très dangereuse. Même si l’enfant survit, ce sera très probablement avec des complications et des lésions aux yeux ou au système nerveux. Ainsi, dès les premiers symptômes, il est impératif de consulter un médecin.
Balantidiase
Causée par un micro-organisme tel que la balantidie. Les symptômes de cette maladie comprennent des douleurs abdominales et une indigestion. Dans certains cas, une forte fièvre et une intoxication du corps sont également possibles.
Leishmaniose
L'agent causal de cette maladie est considéré comme la leishmanie. Avec des manifestations cutanées et cutanéomuqueuses, des ulcères apparaissent. En cas de manifestations cutanéo-muqueuses, un gonflement peut souvent survenir. Ces maladies étant associées aux voies respiratoires, elles peuvent entraîner des décès.
La leishmaniose se rencontre principalement dans les pays chauds. Cette maladie est assez courante et survient dans 87 pays.
Comme vous pouvez le constater, les parasites protozoaires sont incroyablement dangereux pour la santé humaine, malgré la structure simple des micro-organismes. Ils peuvent causer des dommages irréparables au corps humain et entraîner certaines conséquences et complications.
Comment se transmettent-ils ?
Il existe 4 méthodes d’infection les plus courantes :
- Contact - ménage. Ce type se produit en raison de la violation des mesures sanitaires ou des règles d'hygiène. L'infection peut survenir à la suite de diverses actions : utilisation des objets d'autrui, notamment des produits d'hygiène personnelle, de la vaisselle, etc. Il est donc très important de respecter les règles d’hygiène personnelle, de disposer de ses propres produits de soins personnels et de ne jamais utiliser ceux de quelqu’un d’autre.
- Fécal – oral. Ce type survient à la suite d'un contact avec des matières fécales ou des vomissements. Le parasite protozoaire pénètre d'abord dans les mains ou dans la nourriture du « nouvel hôte », puis dans son corps.
- De la nourriture. Ce type survient à la suite de la consommation d’aliments contaminés. Il peut s'agir de poisson ou de viande mal cuit, de légumes et de fruits non lavés et de produits laitiers.
- Transmissif. Ce type résulte de la transmission d'un objet infecté lors d'une morsure, c'est-à-dire par la salive.
Comment s'en débarrasser
Après avoir lu l’article, cette question se pose certainement. Les infections par des parasites protozoaires sont très courantes, la question de leur élimination est donc extrêmement importante.
Comme mentionné précédemment, dès l'apparition des premiers symptômes d'infection, vous devriez consulter un médecin. Le spécialiste peut prescrire certains tests et examens. Après les avoir passés, le médecin posera un diagnostic précis. Après cela, vous devez commencer de toute urgence le traitement. Il est également déconseillé de se soigner soi-même, car c'est un professionnel qui peut aider à poser le bon diagnostic et prescrire le traitement adapté. Dans la plupart des cas, les médecins ont recours à divers médicaments qui aident à éliminer les parasites et à accélérer le rétablissement d’une personne.
De nos jours, il existe de nombreux médicaments efficaces qui aident à lutter contre les infections par des parasites protozoaires. Il existe une grande variété de médicaments sur le marché, ce qui permet de trouver celui qui convient à un patient particulier.
Mesures préventives
Afin de ne pas rencontrer les problèmes ci-dessus, il est nécessaire de respecter certaines règles et de prendre des mesures préventives.
Les règles les plus efficaces sont celles que les enfants apprennent à l'école. Tout d’abord, il ne faut pas oublier de bien laver les fruits et légumes. Vous pouvez également le cuire ou couper la peau.
Ensuite, vous ne pouvez pas manger de poisson cru ou de viande insuffisamment cuite. Il est nécessaire de préparer complètement le plat, de respecter les conditions de température et de temps afin de cuire complètement le produit. Les contacts sexuels occasionnels doivent être évités. Il est également nécessaire de se soumettre à des examens médicaux réguliers.













